63ËêµÄһλÕ㽴󲮣¬
ÍËÐÝǰ´ÓÊÂÆ¤²Ý¼Ó¹¤Ïà¹ØÊÂÇ飬
±»²»Ã÷Ôµ¹ÊÔÓɵĿ©ÑªÕÛÄ¥¶àÄ꣬
Õ⼸ÄêËûշת¸÷´óÒ½ÔºÇóÒ½£¬
Ö¢×´²»µ«Î´ÄÜ»º½â£¬
·´µ¹Óú·¢ÑÏÖØ¡¡
×îÖÕ£¬ÔÚÕã½´óѧҽѧԺÁ¥ÊôµÚÒ»Ò½ÔººôÎüÓëÖØÖ¢Ò½Ñ§¿ÆÖÜ»ªÖ÷ÈÎÓëÓŵÂ88¹ÙÍøÍøÕ¾²Î¹É¹«Ë¾µÏÆ×Õï¶ÏµÄͨÁ¦ºÏ×÷Ï£¬ÃÕÌâ±»½â¿ª¡£
ÔÀ´£¬´ó²®Ñ¬È¾ÁËÒ»ÖÖûÓÐÖÐÎÄÃû³ÆµÄÓÐÊýÕæ¾ú¡ª¡ªArthroderma¡£ËüÊôÓÚÆ¤·ôÑ¢¾úÖÐ×î¶àÑù»¯µÄÊô£¬×îÔçÓÚ1963Äê±»·¢Ã÷£¬²¢´ÓÍö´»òÍÃëµÄÍÁÈÀÖÐÊèÉ¢³öÀ´¡£

¿ËÈÕ£¬µÏÆ×Õï¶ÏÓëÕã½´óѧҽѧԺÁ¥ÊôµÚÒ»Ò½ÔººôÎüÓëÖØÖ¢Ò½Ñ§¿ÆÖÜ»ªÖ÷ÈκÏ×÷£¬½«ÄÉÃ׿ײâÐòÊÖÒÕÓ¦ÓÃÓÚÓÐÊýÕæ¾úµÄÈ«»ùÒò²âÐòÓë½ø»¯ÆÊÎöÑо¿Ð§¹û, ÔÚÏß½ÒÏþÓÚInternational Journal of Infectious Diseases¡¶¹ú¼ÊѬȾ²¡Ñ§¡·ÔÓÖ¾(IF£º12.074)¡£ÕâÊǵÚÒ»ÀýÓÉArthroderma multifidum£¨¼ò³ÆA. multifidum£©ÒýÆðµÄÂýÐԷβ¿Õæ¾úѬȾÈËÀàµÄ²¡Àý¡£
ÖÎÇ·ºÃµÄ½áºË²¡£¿
×ÅʵÊÇÕæ¾úѬȾ
Õâλ´ó²®´Ó2015ÄêÆð£¬¾Í±»¿©Ñª²øÉÏÁË¡£Ëû»¹Ã»À´µÃ¼°ºÃºÃÏíÊÜÍËÐÝÉúÑÄ£¬¾Í×îÏÈÁËÓ벡ħÂþ³¤µÄÀ³¶¡£ËûÒÔΪÊÇ×Ô¼ºÄêÇáʱµÃ¹ý·Î½áºËÂäϵIJ¡¸ù£¬Ê¼ÖÕÎÞ·¨¸ùÖΡ£
µ½ÁË2019Ä꣬Ëû¿ÈѪµÄÖ¢×´Ô½À´Ô½ÑÏÖØ£¬Õ·×ª¶à¼ÒÒ½ÔººóÏòÕã½´óѧҽѧԺÁ¥ÊôµÚÒ»Ò½ÔººôÎüÓëÖØÖ¢Ò½Ñ§¿ÆÖÜ»ªÖ÷ÈÎÇóÖú¡£

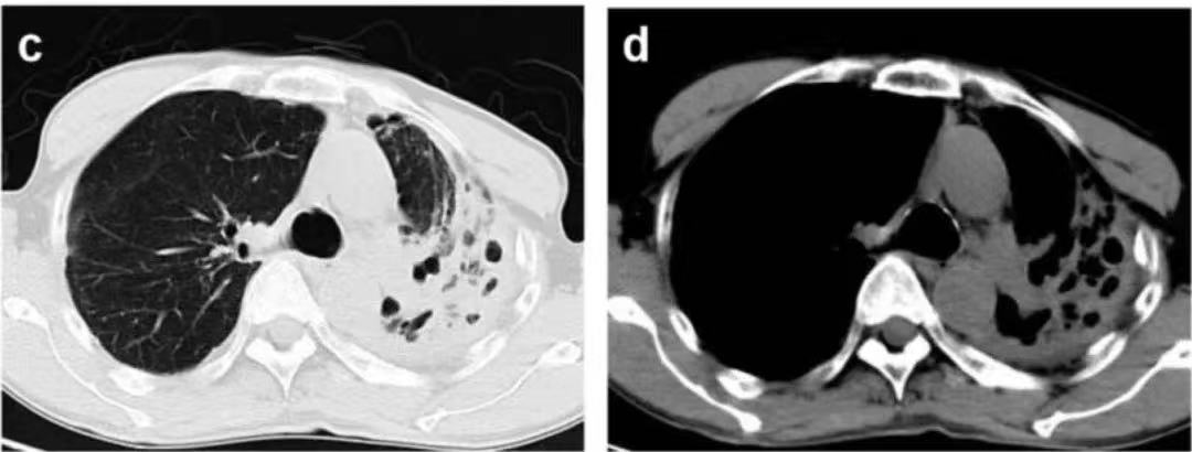
ÐØ²¿CTÏÔʾ×ó·ÎÉÏÒ¶ÓÐÂýÐÔѬȾºÍÊÜËð²¡Ôî
¡°·Î²¿CT¿´ÆðÀ´²»ÏñÊǷνáºË¡£ÎÒÃÇÖØ¸´ÁôÁËÐí¶à´Î̵ͿƬ¶¼Ã»ÓÐÕÒµ½½áºË¸Ë¾ú£¬ÈôÊÇÊǽáºË·ÖÖ¦¸Ë¾ú»ò·ÎÇúù¾ú£¬²»Ó¦ÔÆÔÆ·´Öظ´¸´¡¢¿ØÖƲ»×¡£¡¡±ÖÜ»ªÖ÷ÈÎÌåÏÖ¡£Æ¾Ö¤¸»ºñµÄÁÙ´²ÂÄÀú£¬Ëû³éÈ¡ÁËÖ§Æø¹Ü·ÎÅݹàÏ´Òº(BALF£©ËÍÍùÁÙ´²Î¢ÉúÎïÊÒ×÷Óý¡£
¾ÓÉ×÷Óý·¢Ã÷£¬ÕæÐ×·ºÆðÁË¡ª¡ªÊÇÒ»ÖÖǰËùδ¼ûµÄ˿״ù¾ú£¡

¾úÖêÔÚ35¡æµÄÂíÁåÊíÆÏÌÑÌÇÇíÖ¬×÷Óý»ùÉÏ(PDA)ÑÕÉ«×î³õΪ°×É«£¬Ò»ÖܺóÖð½¥±äΪ»ÆÉ«¡£¾úÂä³Ê·Û×´»ò¿ÅÁ£×´ £¬±âƽ»ò·ÅÉä×´°¼²Û(¼ûÉÏͼa)¡£·ÖÉúæß×Ó³ÊÀæÐΣ¬½üÇòÐλòÍÖÔ²ÐΣ¬Å¼¼û1~2¸ö¸ôĤ¡£·ÖÉúæß×Ó¾ÞϸԼΪ3¦Ìm¡£
ÈéËá·ÓÃÞÀ¶È¾É«ºó£¬¿É¼ûÔ²ÐλòÀæÐηÖÉúæß×ÓÓë͸Ã÷¸ô¾úË¿³ÉÖ±½Ç¸½×Å(¼ûÉÏͼb)¡£
È«»ùÒò×é²âÐòÆÆ½âÃÕÌâ
µÏÆ×Õï¶ÏÄÉÃ׿׵¥·Ö×Ó²âÐòƽ̨¶Ô¸ÃÕæ¾ú¾ÙÐÐÁËÈ«»ùÒò×é²âÐò£¬ÐòÁÐ¾Õæ¾úÊý¾Ý¿â±È¶Ô£¬Ö¤Êµ¸Ã¾úÖêΪA. multifidum¡£¸Ã¾úÖê±»ÃüÃûΪÕã½2016 A. multifidum¡£
ArthrodermaÊÇÆ¤·ôÑ¢¾úÖÐ×î¶àÑù»¯µÄÊô£¬×îÔçÓÚ1963Äê±»·¢Ã÷£¬²¢´ÓÍö´»òÍÃëµÄÍÁÈÀÖÐÊèÉ¢³öÀ´¡£

»ùÓÚÄÉÃ׿׵¥·Ö×Ó²âÐòƽ̨¶ÔÕã½2016 A. multifidumµÄÈ«»ùÒòÐòö¾ÙÐвⶨÆÊÎö¡£Ð§¹ûÏÔʾ£¬A. multifidumÈ«»ùÒò×é¾ÞϸΪ23.22Mb(N50=2.50Mb)£¬ÓÉ23¸öcontigs×é³É(¼ûϱí)¡£È«»ùÒò×éÖÐGCº¬Á¿Õ¼±È50.18%¡£BLAST±È¶ÔÆÊÎöÏÔʾ£¬´ËÐòÁÐÓëNCBI½ÒÏþµÄA. multifidumµÄ18S¡¢ITS1¡¢5.8S¡¢ITS2ºÍ28S»ùÒòµÄÆ¥Åä¶ÈµÖ´ï99.82%¡£

A. multifidumϵͳ½ø»¯Ê÷
±ðµÄ£¬±¾Ñо¿»¹¾ÙÐÐÁË»ùÒòÕ¹Íû¡¢ÆðÔ´¹¦Ð§×¢ÊͺÍϵͳ·¢ÓýÆÊÎö¡£Ð§¹ûÏÔʾ£¬±¾Ñо¿ÒÑÀֳɶÔ6653¸ö»ùÒò¾ÙÐÐÕ¹Íû£¬¶ÔCOGÊý¾Ý¿âÖÐÆ¥ÅäµÄ5287¸ö»ùÒò¾ÙÐй¦Ð§·ÖÀ࣬·ÖÊôÓÚ25¸öÖֱ𡣽ÓÄÉGO×¢ÊÍ·¨¶ÔÕã½2016 A. multifidumµÄÕ¹Íû»ùÒò¾ÙÐÐͬԴÐòÁÐÆÊÎö¡£Æ¾Ö¤Í¬Ô´ÐÔˮƽ£¬3314¸ö»ùÒò±»·ÖΪ3¸öÄ£¿é(ÉúÎïÀú³Ì¡¢Ï¸°ûÒòËØºÍ·Ö×Ó¹¦Ð§)¡£¶øÓëKEGGÊý¾Ý¿âµÄÐòÁбȶÔÔòÏÔʾÁË402Ìõͨ·£¬Éæ¼°3732¸ö»ùÒò£¬²¢¶ÔÕã½2016 A. multifidum Öê¿ÉÄܱ¬·¢µÄDZÔÚÉúÎïѧ;¾¶¾ÙÐиÅÊö¡£
¾ÓÉÖÎÁÆ£¬´ó²®µÄÖ¢×´ÏÔ×Å»º½â£¬²¢ÔÚÖ®ºóΪÆÚ2ÄêÁã9¸öÔµÄËæ·ÃÖÐûÓи´·¢¡£
ÄÉÃ׿׵¥·Ö×Ó²âÐò
ΪÁÙ´²¾«×¼ÕïÁÆÌá¹©ÖØ´ó¼ÛÖµ
±¾Ñо¿Àֳɷ¢Ã÷µÚÒ»ÀýÓÉA. multifidumÒýÆðµÄÈËÀà·Î²¿ÂýÐÔѬȾ²¡Àý£¬Åú×¢¸ÃÕæ¾ú¿ÉÒýÆðÈËÐó¹²»¼Ñ¬È¾£¬ÇÒÊ״λùÓÚÄÉÃ׿׵¥·Ö×Ó²âÐòƽ̨Íê³ÉÁׯÃÕæ¾úµÄÈ«»ùÒò×é²âÐòºÍϵͳ½ø»¯ÆÊÎö¡£Ñо¿Ò²³ä·Ö֤ʵ£¬ÄÉÃ׿ײâÐòÊÖÒÕÒòÆä³¤¶Á³¤¡¢PCR freeµÄÊÖÒÕÓÅÊÆÔÚδ֪/ÓÐÊýÕæ¾úµÄ¼ì²â·½Ã棬ÄÜ×î´óÏ޶ȱ£´æÔʼÐòÁеı£Õæ¶È£¬¿É×÷Ϊδ֪/ÓÐÊý²¡ÔÌå·¢Ã÷µÄÓÐÁ¦¹¤¾ß¡£
ʱ»úÐÔÕæ¾úѬȾµÄ¼±¾çÔöÌíÒ²¶Ô¿ìËÙ¡¢×¼È·µÄÁÙ´²Õï¶ÏÒªÁìÌá³ö¸ü¸ßÐèÇó¡£µÏÆ×Õï¶Ï»ùÓÚÄÉÃ׿׵¥·Ö×Ó²âÐòÊÖÒÕÒÑ¿ª·¢µÏÆ×ÄÉ?²¡Ôºê»ùÒò×é²âÐò¡¢µÏÆ×¿×?²¡Ô¶àÖØ°ÐÏò²âÐò¡¢µÏÆ×¿×?16S rDNAÈ«³¤²âÐòµÈ¶àÏîÍâµØ»¯½â¾ö¼Æ»®£¬¿ìËÙ¡¢×¼È·¡¢¸ßЧµØÅбðѬȾ²¡ÔÌåµÄͬʱ£¬Ò²ÎªÁÙ´²¾«×¼Ñ¡ÔñÒ©ÎïÌṩ²Î¿¼ÒÀ¾Ý¡£
Õæ¾úϲ»¶²øÉÏÄÄЩÈË£¿
1
ѪҺ²¡»ò¶ñÐÔÖ×Áö»¯Áƺó°×ϸ°ûµÍÏµĻ¼Õߣ»
2
»¼ÓÐÀà·çʪÐÔÊàŦÑס¢ÌÇÄò²¡»ò¶àÖÖ¼²²¡µ¼ÖÂÃâÒß¹¦Ð§µÍϵÄÈË£»
3
Ò»¾ºã¾ÃʹÓùãЧ¿¹ÉúËØµÄÈË£»
4
³Â¸¯ÐԷνáºË»òÆäËûÔµ¹ÊÔÓɵ¼Ö·β¿½á¹¹¸Ä±ä¡¢·Î¹¦Ð§µÍϵÄÈË£»
5
ÖÖÖÖÔµ¹ÊÔÓÉ̻¶ÔÚ¸»º¬Õæ¾úæß×ÓÇéÐÎÏ£¨¸¯°ÜÖ²Î͸·ç²»Á¼¡¢¿ÕÆøÊªÈó¡¢ÐÞ½¨Îï²ð½¨¹¤µØµÈ£©£¬ÇÒ²»´÷¿ÚÕÖ¾ÙÐзÀ»¤µÄÈË¡£