ÓŵÂ88¹ÙÍøÍøÕ¾

OAÈë¿Ú
±¨¸æµ¥ÅÌÎÊ
ÔÚÏ߿ͷþ
ÓŵÂ88¡¤(ÖйúÇø)¹Ù·½ÍøÕ¾
ÐÂÎÅÖÐÐÄ
News Center
37ËêµÄËý³¤³ö÷×ëºÍðî´¯£¬È«ÍâÏÔ×Ó²âÐò²é³öÓÐÊý²¡Òò
Ðû²¼£º2023/12/08
һλ37ËêµÄÅ®ÐÔ»¼Õߣ¬Í¯Äêʱ±£´æÉú³¤¼ÓËÙ£¬ÇÒ»éºóһֱδÓÐÉí¡£2022Ä꣬»¼ÕßÒòÔ¾­²»¹æÔò±»ÊÕÈëÄÚÉøÍ¸¿Æ¡£CTÏÔʾÓÒÉöÉÏÏÙÆ¤ÖÊÔöÉú¸´·¢¡£Ìå¸ñ¼ì²éÏÔʾ¸Ã»¼Õ߯¤·ôÉ«ËØÀä¾²£¬Ã沿ÓÐðî´¯ºÍ÷×룬·ºÆðÄÐÐÔ»¯ÌåÕ÷¡­¡­

ͼƬ 1.png

ÂÛÎÄÐû²¼½ØÍ¼


¸Ã»¼ÕßµÄѪҺÑù±¾¾ÙÐÐÁËÈ«ÍâÏÔ×Ó²âÐò£¨Whole Exome Sequencing, WES£©£¬Ð§¹û֤ʵËý»¼ÓÐCYP11B2/CYP11B1ÈںϻùÒòËùÖµÄ11¦Â-ôÇ»¯Ã¸È±·¦Ö¢¡£¿ËÈÕ£¬ÕâÏîÓÉÓŵÂ88¹ÙÍøÍøÕ¾ºÍÄþ²¨´óѧÁ¥ÊôµÚÒ»Ò½ÔºÄÚÉøÍ¸¿ÆºÏ×÷µÄÑо¿Ð§¹û£¬½ÒÏþÓÚ¹ú¼ÊÆÚ¿¯¡¶Frontiers in Endocrinology¡·£¨ÎåÄêÓ°ÏìÒò×Ó5.9/ÄÚÉøÍ¸Ñ§Óë´úлQ2£©¡£


¼²²¡Åä¾°

ÏÈÌìÐÔÉöÉÏÏÙÆ¤ÖÊÔöÉúÖ¢£¨congenital adrenal hyperplasia£¬CAH£©ÊÇÒ»×éÒòÉöÉÏÏÙÆ¤Öʼ¤ËغϳÉ;¾¶ÖÐøȱÏÝÒýÆðµÄ¼²²¡£¬ÎªÓÐÊýµÄ³£È¾É«ÌåÒþÐÔÒÅ´«²¡¡£


ÆäÖУ¬ÒÔ21-ôÇ»¯Ã¸È±·¦Ö¢£¨21-OHD£©×îΪ³£¼û£¬Õ¼90%-95%¡£Æä´ÎΪ11¦Â-ôÇ»¯Ã¸È±·¦Ö¢£¨11¦Â-OHD£©£¬Õ¼5%-8%¡£11¦Â-ôÇ»¯Ã¸ÓÉCYP11B1»ùÒò±àÂ룬´ß»¯11-ÍÑÑõƤÖÊ´¼ºÍ11-ÍÑÑõƤÖÊͪ£¨DOC£©×ª»¯ÎªÆ¤ÖÊ´¼ºÍƤÖÊͪ¡£11¦Â-ôÇ»¯Ã¸µÄȱ·¦µ¼ÖÂ11-ÍÑÑõƤÖÊ´¼¡¢DOCºÍغͪˮƽÉý¸ß£¬DOCºÍغͪµÄÐî»ýµ¼Ö¸ßѪѹºÍÄÐÐÔ»¯¡£¶øÆ¤ÖÊ´¼ÌìÉúȱ·¦»á´Ì¼¤´ÙÉöÉÏÏÙÆ¤Öʼ¤ËØ£¨ACTH£©µÄÊÍ·Å£¬µ¼ÖÂÉöÉÏÏÙÆ¤ÖÊÔöÉú¡£


ÁÙ´²ÌåÏÖ

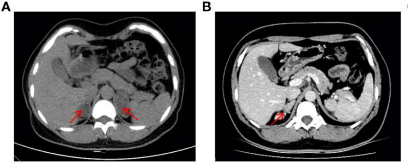
¸Ã»¼ÕßÊÇÒ»Ãû37ËêµÄÅ®ÐÔ£¨ºËÐÍΪ46£¬XX£©£¬Í¯Äêʱ±£´æÉú³¤¼ÓËÙ£¬ÇÒ»éºóһֱδÓÐÉí¡£2019ÄêÒòÒÉÕïË«²àÉöÉÏÏÙÖ×ÁöÈëÔº£¨Í¼1A£©£¬Ç°ºó¾ÙÐÐÁËÁ½´ÎÉöÉÏÏÙÇгýÊõ¡£2022Ä꣬»¼ÕßÓÉÓÚÔ¾­²»¹æÔò±»ÊÕÈëÄÚÉøÍ¸¿Æ£¬CTÏÔʾÓÒÉöÉÏÏÙÆ¤ÖÊÔöÉú¸´·¢£¨Í¼1B£©£¬Ìå¸ñ¼ì²éÏÔʾ¸Ã»¼Õ߯¤·ôÉ«ËØÀä¾²£¬Ã沿ÓÐðî´¯ºÍ÷×룬·ºÆðÄÐÐÔ»¯ÌåÕ÷£¬Éú»¯¼ì²éÌáÐѵͼØÐÔ¸ßѪѹ£¬¸ßÐÛѪ֢¡£¾ùÌáÐÑ11¦Â-OHDÕï¶Ï¡£

ͼƬ 2.png

ͼ1  »¼Õ߸¹²¿CTÓ°Ïñ


¼ì²âЧ¹û

¸Ã»¼ÕßѪҺÑù±¾ËÍÖÁÓŵÂ88¹ÙÍøÍøÕ¾ÊµÑéÊÒ¾ÙÐÐÉöÉÏÏÙÆ¤ÖÊÔöÉú¼ì²â£¨°üÀ¨È«ÍâÏÔ×Ó²âÐòºÍCYP21A2¼ì²â£©¡£¼ì²âЧ¹ûÏÔʾ£¬CYP21A2»ùÒòδ·¢Ã÷ÈκαäÒ죬µ«¾­È«ÍâÏÔ×Ó²âÐò·¢Ã÷»¼Õß¼ì³öÒ»¸öλÓÚCYP11B1»ùÒò1ºÅÍâÏÔ×ӵĴíÒåÍ»±äCYP11B1:c.203T>G (p.Val68Gly)£¨Í¼2A¡¢2B£©¡£¸Ã±äÒìÎ´ÔøÔÚÊý¾Ý¿âºÍÎÄÏ×Öб»±¨µÀ£¬Í¨¹ý¶Ô¸Ã±äÒìµÄÊØ¾ÉÐÔºÍÈýάÂѰ׽ṹµÄÆÊÎö£¨Í¼2C¡¢2D£©£¬Ë¼Á¿¸Ã±äÒì¿ÉÄÜΪÖ²¡ÐÔ¡£

ͼƬ 3.png

ͼ2  CYP11B1:p.Val68Gly¼ì²âЧ¹û¼°ÆÊÎö


ͬʱ£¬»ùÓÚÈ«ÍâÏÔ×Ó²âÐòµÄ¿½±´Êý±äÒìÆÊÎö£¨WES-CNV£©£¬¼ì³öÒ»¸öÁýÕÖCYP11B2»ùÒò7-9ºÅÍâÏÔ×ÓºÍCYP11B1»ùÒò1-6ºÅÍâÏÔ×ӵĿ½±´Êýȱʧ£¨Í¼3A£©£¬Ëæºóͨ¹ýÑé֤֤ʵÁ˸ÿ½±´ÊýȱʧµÄÕæÊµÐÔ£¨Í¼3C£©¡£


ÓÉÓÚCYP11B1ºÍCYP11B2»ùÒò±£´æ¸ß¶ÈͬԴÐÔ£¬¸ÃȱʧÐγÉÁËÒ»¸öÓÉCYP11B2»ùÒò1-6ºÅÍâÏÔ×ÓºÍCYP11B1»ùÒò7-9ºÅÍâÏÔ×Ó×é³ÉµÄCYP11B2/CYP11B1ÈںϻùÒò£¨Í¼3B£©£¬¸ÃÈںϻùÒòÊܵ½CYP11B2Æô¶¯×ӵĵ÷¿Ø£¬µ¼ÖÂCYP11B1µÄÒìλ±í´ïºÍ11¦Â-ôÇ»¯Ã¸»îÐÔϽµ¡£

ͼƬ 4.png

ͼ3  CYP11B1/CYP11B2ÈںϻùÒò


Ñо¿Ð¡½á


CYP11B1/CYP11B2ÈÚºÏÊǵ¼ÖÂ11¦Â-ôÇ»¯Ã¸È±·¦Ö¢µÄÖ÷ÒªÔµ¹ÊÔ­ÓÉ£¬µ«ÓÉÓÚCYP11B1ºÍCYP11B2µÄ¸ß¶ÈͬԴÐÔ£¬¸ÃÈںϻùÒòͨ³£ÄÑÒÔ¼ì²â¡£±¾Ñо¿ÊÇÏÖÔÚÊ×Àý¹ØÓÚʹÓÃÈ«ÍâÏÔ×Ó²âÐò¼ì²â³öÈںϻùÒòËùÖµÄ11¦Â-ôÇ»¯Ã¸È±·¦Ö¢»¼Õߵı¨µÀ£¬»¹Í¬Ê±·¢Ã÷ÁËCYP11B1:p.Val68GlyÐÂÐÍÍ»±ä£¬À©´óÁËCYP11B1»ùÒòµÄ±äÒìͼÆ×¡£


Ëæ×Ŷþ´ú²âÐò(Next-generation Sequencing, NGS)µÄÉú³¤£¬È«ÍâÏÔ×Ó²âÐòÒѳÉΪ´ó´ó¶¼µ¥»ùÒòÒÅ´«²¡µÄÒ»ÏßÕï¶ÏÒªÁ졣ȫÍâÏÔ×Ó²âÐòÖ÷Òª¼ì²âµÄ±äÒìÀàÐÍΪµ¥ºËÜÕËá±äÒ죨SNV£©ºÍСƬ¶ÏµÄ²åÈëȱʧ£¨InDel£©£¬¶ø»ùÓÚÈ«ÍâÏÔ×Ó²âÐòµÄ¿½±´Êý±äÒìÆÊÎö£¬¿ÉÒÔÔö²¹ÆÊÎö¿½±´Êý±äÒ죨CNV£©£¬µÖ´ïÍâÏÔ×Ó¼¶±ð£¬ÔÚÓÐÊýÒÅ´«²¡µÄÁÙ´²Õï¶ÏÖÐʩչÁËÒªº¦×÷Óá£


ÓŵÂ88¹ÙÍøÍøÕ¾CAHÏà¹Ø»ùÒò¼ì²âÏîÄ¿

ÏîÄ¿±í_Sheet1.jpg

ÓŵÂ88¹ÙÍøÍøÕ¾ÁÙ´²»ùÒò×éÖÐÐÄÑÏ¿áÆ¾Ö¤ISO15189ÈϿɺÍÃÀ¹úCAPÈÏÖ¤ÒªÇó¾ÙÐÐʵÑéÊÒ±ê×¼ºÍ¹æ·¶µÄ¹ÜÀí£¬¾ß±¸Ñù±¾¼ì²â¡¢ÉúÐÅÆÊÎö¡¢±¨¸æ½â¶Á¡¢ÒÅ´«×Éѯ¡¢×ÔÖ÷Ñз¢µÈ×ÛºÏÄÜÁ¦£¬Æð¾¢¼ÓÈë²¢¸ßˮƽͨ¹ýNCCL¡¢CAP¡¢EMQN¶àÏî¸ßͨÁ¿²âÐòÊÒ¼äÖÊÆÀ¡£ÖÐÐÄ¿ª·¢ÁË»ùÓÚÈ«ÍâÏÔ×Ó²âÐò¡¢¼ÒϵȫÍâÏÔ×Ó²âÐòÒÔ¼°È«»ùÒò×é²âÐòµÄÒÅ´«²¡ÆÊÎöÁ÷³Ì£¬Äܹ»Íê³ÉÖÖÖÖÒÅ´«ÐÔ¼²²¡µÄɸ²éÓëÕï¶Ï¡£


ÍøÕ¾µØÍ¼